
新闻动态
联系我们
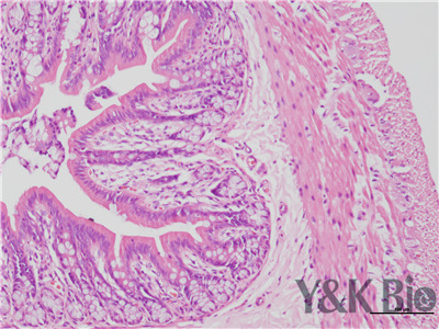
陕西依科生物技术服务有限公司首页 > 实验问题解答 > 重庆HE病理片子全景扫描
陕西依科生物技术服务有限公司免费为您提供{重庆VG染色},{重庆EVG染色},{重庆weigert弹力纤维染色}等一些相关信息的展示发布,请您关注本站!
数字切片扫描出来的切片,便于储存和传阅,就像我们把普通冲印好的照片扫描成数码照片一样,可以传到电脑上进行阅片和看诊,不像传统式的用显微镜单一的去观察。现在转化成数子切片后方便了很多,可以进一步做远程会诊使用,不将像以前将切片寄给专家,在此给病人节省了很多的时间,现在科学发达,可以直接上传到网络平台,专家就可以远程进行读片诊断了!

HE病理片子全景扫描是将物质化的玻片标本快速数字化的过程,能高效、高清晰、全信息的图像采集,是真正脱离显微镜的阅片方式。还能够长期保存,可满足临床、科研、教学等多种用途。陕西依科生物可根据客户需要,提供个性化服务,可满足不同应用的软、硬件zy服务解决方案。该公司的HE病理片子全景扫描,可适应不同玻璃切片,确保凸凹不平的切片图像不会失焦模糊.
{陕西依科生物技术服务有限公司}口碑怎么样?{重庆VG染色}哪里好?{重庆EVG染色}找哪家?陕西依科生物技术服务有限公司专业从事{生物科研试剂的研发、销售及相关技术服务}