
产品中心
联系我们
陕西依科生物技术服务有限公司陕西依科生物从事病理染色服务多年,其中PAS染色法在组织学上,主要用来检测组织中的糖类。过碘酸把糖类相邻两个碳上的羟基氧化成醛基,再用Schiff试剂和醛基反应使呈现紫红色。PAS染色又称过碘酸雪夫染色,糖原染色。一般用来显示糖元和其它多糖物质。
原理:过碘酸能使细胞内的多糖乙二醇基氧化成二醛,再与Schiff氏液的无色品红结合,红色,定位于胞浆上。
随着医学实验技术的发展,PAS染色应用的范围更加广泛,如用以证明与鉴别细胞内空泡状的性质 ,心肌病变及其他心血管疾病的诊断 ,糖原累积病诊断和研究 ,糖尿病的诊断和研究 ,用于某些肿瘤的诊断等。除用于糖原的鉴定和黏液的显示外,还可以观察肾小球基底膜、结肠杯状细胞中性黏液物质、阿米巴滋养体和霉菌的着色。临床诊断、分类和治疗提供了重要的依据。
一、糖原PAS详情介绍: PAS染色又称过 碘酸雪夫染色, 糖原染色。一般用来显示糖元和其它多糖物质。原理:过碘酸能使细胞内的多糖乙二醇基氧化成二醛,再与Schiff氏液的无色品红结合,红色,定位于胞浆上。
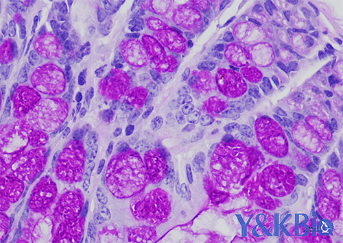
二、实验结果图片展示
1.肠组织染色结果

2. 肾脏组织染色结果

3.肝脏组织染色结果

三、实验流程:
1. 重庆石蜡切片脱蜡至水:依次将切片放入二甲苯Ⅰ8min-二甲苯Ⅱ8min-无水乙醇Ⅰ 6min-无水乙醇Ⅱ6min-95%酒精 6min-85%酒精 6min-75%酒精 5min-流水冲洗;
2. 滴加过碘酸氧化10min;
3. 自来水冲洗1次,再用蒸馏水冲洗2次;
4. 滴加雪夫试剂10-20min,镜下观察;
5. 流水冲洗10min;
6. 苏木素染核5min,流水冲洗;
7. 1%盐酸酒精分化,流水冲洗返蓝;
8. 无水乙醇脱水,二甲苯透明;
9. 重庆中性树胶封片。
四、染色结果判读:糖原、中性粘液物质呈红色,细胞核呈蓝色。