
新闻动态
联系我们
陕西依科生物技术服务有限公司陕西依科生物技术服务有限公司免费为您提供{重庆VG染色},{重庆EVG染色},{重庆weigert弹力纤维染色}等一些相关信息的展示发布,请您关注本站!

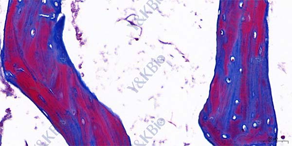
以往的Masson三色染色多用于显示结缔组织中各种纤维成分,如果采用Masson三色染色的方法,对骨受损后处于不同修复时期的骨组织进行染色,镜检观察,并用计算机多功能图像分析系统进行分析,结果显示不同修复时期骨基质中胶原纤维均呈红-蓝相间,骨修复早期红染少,蓝染多,随着修复时间的延长红染区域增多。在染色程序及试剂都一致的情况下,染色反应的颜色决定于组织的成分。
骨中胶原主要是I型胶原,成熟骨重庆Masson染色胶原着鲜红色,在新生骨走向成熟过程中表现为红-蓝相间现象,表明骨组织中胶原的成熟程度影响Masson的染色反应,可以用Masson染色来评价骨质的成熟程度,新生骨质红染少,成熟骨内红染多,即骨质越成熟,红染越多。同样也可以用此染色观察骨细胞和成骨细胞的活动状况,在细胞周围出现的蓝染胶原系新生部分,细胞周围蓝染区域的大小代表细胞的新近活动程度。
Masson 染色骨损伤后早期红染区域较少,骨细胞及成骨细胞周围的蓝色着染区域较大,随着修复时间的延长,可见骨组织红染区域面积占测量区面积的百分数逐渐增大,表明成熟骨组织在逐渐增多,这与其他指标的结果一致。
采用Masson三色染色的方法,对骨受损后处于不同修复时期的骨组织进行染色,操作方法简单,普通脱钙骨切片即可,在新生骨走向成熟过程中表现为红-蓝相间现象,新生骨质红染少,成熟骨内红染多,即骨质越成熟,红染越多,结合计算机图像分析处理系统可定量分析骨组织的成熟程度。
{陕西依科生物技术服务有限公司}口碑怎么样?{重庆VG染色}哪里好?{重庆EVG染色}找哪家?陕西依科生物技术服务有限公司专业从事{生物科研试剂的研发、销售及相关技术服务}